For The Latest Medical News, Health News, Research News, COVID-19 News, Pharma News, Glaucoma News, Diabetes News, Herb News, Phytochemical News, Thailand Cannabis News, Cancer News, Doctor News, Thailand Hospital News, Oral Cancer News, Thailand Doctors

BREAKING NEWS

Latest articles

Presented by
Nikhil Prasad  Feb 12, 2026  14 minutes ago
Medical News: A Humble Seagrass with Surprising Medical Promise A common underwater plant found across the Mediterranean Sea is now drawing serious scientific attention for its remarkable healing potential. Posidonia oceanica, often called Neptune grass, has long been valued for protecting coastlines and supporting marine life. Now, researchers say it may also protect human health. Marine se...
Nikhil Prasad  Feb 12, 2026  4 hours ago
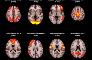
Medical News: A groundbreaking new study has mapped the complex fat molecules inside the human brain and uncovered distinct “lipid fingerprints” linked to Alzheimer’s disease, Parkinson’s disease, and Huntington’s disease. The findings could pave the way for more accurate diagnosis and better monitoring of these devastating neurodegenerative disorders. New resear...
Nikhil Prasad  Feb 12, 2026  4 hours ago
Medical News: A new scientific letter published in a leading medical journal is urging doctors worldwide to take a closer look at patients who develop persistent headaches, dizziness, and subtle brain inflammation after recovering from COVID-19. Researchers from the Institute Pasteur of Tunis, University of Tunis El Manar and Genomic Platform in Tunis, Tunisia, and the Neurology & Neurophysiol...
Nikhil Prasad  Feb 12, 2026  6 hours ago
Thailand Hospital News: Every year on February 14th, the world marks World Congenital Heart Disease Day, shining a spotlight on a condition that begins at birth but often lasts a lifetime. Congenital heart disease is not a brief medical episode. For many patients, it is a lifelong journey filled with surgeries, hospital visits, new technologies, and evolving health challenges. At the center of thi...
Nikhil Prasad  Feb 12, 2026  7 hours ago
Medical News: Researchers Use AI and Simulations to Find Natural Inhibitors In a promising breakthrough in cancer research, scientists from the Computational Biosciences and Chemistry Research Organization in Rajshahi, the Department of Genetic Engineering and Biotechnology at the University of Rajshahi in Bangladesh, and the Department of Biotechnology at Yeungnam University in Gyeongsan, Republ...
Nikhil Prasad  Feb 12, 2026  8 hours ago
Medical News: A small but promising clinical study from Spain is drawing attention to a new regenerative treatment for one of the most underdiagnosed conditions affecting menopausal women. Doctors at La Paz University Hospital in Madrid have found that intradermal collagen injections into the vulvovaginal area may dramatically reduce pain, dryness, and sexual discomfort in women suffering from Gen...
Nikhil Prasad  Feb 12, 2026  8 hours ago
Medical News: Hidden Link Between Fragile Bones and Brain Health A new study has uncovered a surprising connection between weak bones and shrinking brain volume in older women, raising fresh concerns that osteoporosis may be linked to changes inside the brain itself. Researchers found that women with lower bone mineral density not only had more fragile bones, but also showed reduced blood flow in...
Nikhil Prasad  Feb 12, 2026  8 hours ago
Medical News: A new systematic review has raised fresh scientific questions about how long components of COVID-19 mRNA vaccines may remain inside the human body. The study, conducted by researchers from multiple institutions including the Institute for Medical and Health Sciences (IMA Health) in the United States, the University of Guelph in Canada, and United Memorial Medical Center in Houston, T...
Nikhil Prasad  Feb 12, 2026  9 hours ago
Medical News: A common dietary supplement widely used for heart health may also hold promise for a serious liver condition that is rising worldwide. Scientists in South Korea have found that Coenzyme Q10, often called CoQ10, can significantly reduce liver damage in a severe form of fatty liver disease known as metabolic dysfunction-associated steatohepatitis, or MASH. CoQ10 restores critical ...
Nikhil Prasad  Feb 11, 2026  23 hours ago
Medical News: A new scientific analysis is raising fresh questions about how well the popular flu drug oseltamivir, commonly known as Tamiflu, actually works inside the human body. While the medication has long been prescribed to shorten flu symptoms, researchers now suggest that its effect on the virus itself may be more limited and complex than previously believed. Study reveals Tamiflu may...
Nikhil Prasad  Feb 11, 2026  1 day ago
Medical News: Understanding Why Alcohol Harms the Stomach Heavy and long-term alcohol intake is a major cause of gastric injury, leading to painful ulcers, bleeding, and long-term digestive problems. Alcohol weakens the stomach’s protective lining, increases harmful oxidative stress, and triggers inflammation that destroys stomach cells. Over time, this damage can severely affect quality of...
Nikhil Prasad  Feb 11, 2026  1 day ago
Medical News: Diabetic foot disease is one of the most feared complications of type 2 diabetes, often leading to chronic ulcers, repeated hospital stays, and in severe cases, limb amputations. For years, treatment has focused mainly on wound care, infection control, and surgery. However, new scientific insights now suggest that a widely used class of diabetes medications may also help protect the ...
Nikhil Prasad  Feb 11, 2026  1 day ago
Thailand Hospital News: A Major Step Forward for Women’s Cancer Care in Thailand Phyathai 2 Hospital has reinforced its commitment to delivering attentive care at every step by officially upgrading and opening its comprehensive Women’s Cancer Center, a move designed to boost confidence and improve outcomes for women of all ages. This upgraded center reflects the hospital’s visio...
Nikhil Prasad  Feb 11, 2026  1 day ago
Medical News: Chronic Kidney Disease Is More Than Just Kidney Trouble Chronic kidney disease, commonly known as CKD, affects millions of people worldwide and is now recognized as a serious long-term health challenge. Researchers stress that CKD is not just about failing kidneys but is a whole-body condition that disrupts many systems at once. People with CKD often face diabetes, high blood pressu...
Nikhil Prasad  Feb 11, 2026  1 day ago
Medical News: A New Look at Why Eye Nerves Fail to Heal - Mitochondrial Lipid Enzyme Blocks Eye Nerve Regrowth Scientists are uncovering why damaged eye nerves struggle to regrow, especially in conditions such as glaucoma. A new study reveals that a little-known mitochondrial enzyme, phosphatidylserine decarboxylase, or PSD, may quietly block nerve recovery by altering how nerve cells manage fats...
Nikhil Prasad  Feb 11, 2026  1 day ago
Medical News: COVID-19 is widely known for damaging the lungs, but new research now shows that the virus can also quietly harm the eyes in serious and lasting ways. Scientists have uncovered how COVID-19 can trigger a previously undefined form of retinal disease driven by abnormal blood vessel growth, raising concerns for survivors experiencing vision problems after infection.   Growing...
Nikhil Prasad  Feb 11, 2026  1 day ago
Medical News: Understanding a New Non-Drug Approach to Neuropathic Pain Neuropathic pain is a long-lasting and often severe form of pain caused by damaged or irritated nerves. It is commonly seen in conditions such as diabetes, spinal problems, or nerve compression, and it is notoriously difficult to treat using standard pain medications. Many patients continue to suffer despite taking multiple d...
Nikhil Prasad  Feb 11, 2026  1 day ago
Medical News: A chronic disease with unique challenges for women Rheumatoid arthritis is a long-term autoimmune condition that causes painful joint inflammation and fatigue, affecting about one percent of people worldwide. Women are impacted far more than men, especially during life stages marked by hormonal changes such as pregnancy, the post-birth period, and menopause. While modern drugs have ...
Nikhil Prasad  Feb 10, 2026  2 days ago
Medical News: Breast cancer remains one of the most common cancers affecting women worldwide, and among its many forms, HER2-positive breast cancer is known to be particularly aggressive. New scientific insights are now shedding light on why these tumors are so difficult to control, especially when they learn how to hide from the body’s immune defenses. Cancer cells evade immune attack ...
Nikhil Prasad  Feb 10, 2026  2 days ago
Medical News: Understanding A Common but Debilitating Problem Persistent fatigue has emerged as one of the most troubling long-term symptoms following COVID-19, even among people who initially had only mild illness. Many patients report months of overwhelming tiredness, poor concentration, and lack of motivation that disrupt daily life. Scientists have struggled to explain why this happens in som...
Nikhil Prasad  Feb 10, 2026  2 days ago
Medical News: Autoimmune diseases affect millions of people worldwide, yet many patients and even clinicians may overlook one important contributor to worsening symptoms: hidden deficiencies in essential vitamins and minerals. A new scientific review sheds light on how common micronutrient shortages can quietly disrupt the immune system and aggravate autoimmune conditions. New research reveal...
Nikhil Prasad  Feb 10, 2026  2 days ago
Medical News: Cancer remains one of the most pressing global health challenges of the modern era, affecting millions of individuals each year and placing immense strain on healthcare systems worldwide. Despite remarkable advances in surgery, chemotherapy, radiation therapy, immunotherapy, and precision medicine, cancer continues to claim lives at an alarming rate. Scientists are now increasingly t...
Nikhil Prasad  Feb 10, 2026  2 days ago
Medical News: A Growing Health Problem Needs New Solutions Genitourinary diseases, which affect the kidneys, bladder, prostate, and reproductive organs, are increasing worldwide and placing a heavy burden on healthcare systems. Conditions such as urinary tract infections, kidney stones, prostatitis, benign prostate enlargement, bladder inflammation, and vaginal infections affect millions of peopl...
Nikhil Prasad  Feb 10, 2026  2 days ago
Medical News: Cancer cachexia is one of the most devastating complications faced by people with cancer, yet it often remains poorly understood outside medical circles. It is not simply weight loss or poor appetite. Instead, it is a complex condition marked by relentless muscle wasting, fat loss, weakness, and exhaustion that cannot be reversed by eating more food alone. New scientific insights are...
Nikhil Prasad  Feb 10, 2026  2 days ago
Medical News: Chronic oxidative stress has long been recognized as a hidden driver of immune damage in people living with HIV. Now, a comprehensive new scientific review suggests that restoring a natural antioxidant called glutathione may help strengthen immunity, reduce inflammation, and support long term health in both HIV infection and HIV tuberculosis co infection. Glutathione boosting th...
Nikhil Prasad  Feb 10, 2026  2 days ago
Medical News: A Simple Score Offers New Insight Into COVID-19 Lung Severity Doctors have long struggled to quickly identify which COVID-19 patients are most at risk of severe lung damage and life-threatening complications. Now, researchers from Italy have found that a simple calculation using age and routine blood tests can closely reflect how badly the lungs are affected. This Medical News repor...
Nikhil Prasad  Feb 10, 2026  2 days ago
Medical News: A new laboratory study has revealed that extracts from juniper berries may offer a promising natural weapon against Staphylococcus aureus, a bacterium responsible for many difficult-to-treat infections and food poisoning cases worldwide. The research focuses on Juniperus oxycedrus, a plant long used in traditional medicine across the Mediterranean region. Juniper berry extract b...
Nikhil Prasad  Feb 09, 2026  3 days ago
Medical News: Across the globe, patients are quietly changing how they seek medical advice. Instead of waiting weeks for appointments or struggling with high costs, many now turn to AI tools for quick answers about symptoms and treatments. This shift reflects frustration with overcrowded clinics, physician shortages, and complex healthcare systems that often leave patients confused and underserved...
Nikhil Prasad  Feb 09, 2026  3 days ago
Medical News: Researchers are increasingly turning their attention to natural compounds found in plants as safer and more effective ways to slow cognitive decline. A new comprehensive review has now highlighted how plant-derived polysaccharides, complex natural sugars present in many medicinal plants, may help protect the brain and support memory through multiple biological pathways. Natural ...
Nikhil Prasad  Feb 09, 2026  3 days ago
Medical News: A new experimental study has revealed disturbing evidence that exposure to an inactivated form of the SARS-CoV-2 virus can still trigger intense inflammation that disrupts fertility, damages sperm quality, and impairs pregnancy outcomes, even without active viral replication. The findings raise fresh concerns about how viral components alone may affect reproductive health. Inact...
Nikhil Prasad  Feb 09, 2026  3 days ago
Medical News: Researchers are increasingly discovering that the human gut is not just home to bacteria but also to vast numbers of viruses, many of which may quietly influence how the brain ages. A new scientific review is now shedding light on how these hidden viral communities, collectively known as the gut virome, could play a major role in cognitive decline and neurodegenerative diseases. ...
Nikhil Prasad  Feb 09, 2026  3 days ago
Medical News: Researchers have uncovered compelling new evidence that compounds found in pomegranate peels could play a major role in protecting the intestines from inflammation and damage, offering fresh hope for people struggling with gut-related disorders. Pomegranate peel extract strengthens the gut barrier and reduces inflammation in new laboratory studies   Turning Fruit Waste in...
Nikhil Prasad  Feb 09, 2026  3 days ago
Medical News: Millions of people worldwide continue to struggle with long COVID, a condition marked by lingering symptoms months after the initial coronavirus infection. Fatigue, brain fog, memory problems, shortness of breath, anxiety, sleep disturbances, and heart-related complaints have left many patients unable to return to normal life. Now, a comprehensive new scientific review suggests that ...
Nikhil Prasad  Feb 09, 2026  3 days ago
Medical News: Mental health conditions such as anxiety, depression, and bipolar disorder are often discussed in terms of emotions and behavior, but new research shows that the story goes much deeper into the body. Scientists have now uncovered clear biological patterns in the blood that connect these mental disorders to inflammation, metabolism, and even heart-related stress, offering fresh insigh...
Nikhil Prasad  Feb 09, 2026  3 days ago
Medical News: Herpes simplex keratitis is one of the world’s leading infectious causes of vision loss, often striking without warning and recurring despite treatment. Now, new research suggests that a naturally occurring immune signal may reprogram the body’s own defense cells to better fight the virus before severe eye damage occurs. New research shows how reprogramming immune ce...
Nikhil Prasad  Feb 08, 2026  4 days ago
Medical News: Brief Exposure Shows Strong Biological Effects A new laboratory-based study has revealed that even very short exposure to extremely low-frequency electromagnetic fields can trigger oxidative stress and DNA damage in certain cancer cells. The findings add to growing scientific interest in whether controlled electromagnetic fields could one day support cancer treatment strategies with...
Nikhil Prasad  Feb 08, 2026  4 days ago
Medical News: Intense physical activity puts enormous stress on the human body, often leaving muscles sore, immunity weakened, and recovery slowed. A new scientific review suggests that glutamine, a naturally occurring amino acid, could play a meaningful role in helping the body cope with this stress and recover more efficiently after exercise. Glutamine may support muscle recovery, immunity,...
Nikhil Prasad  Feb 08, 2026  4 days ago
Medical News: Researchers have uncovered compelling new evidence that the purity of phosphatidylserine, a natural brain lipid often used in supplements, may play a crucial role in protecting human brain cells and strengthening their energy systems. This Medical News report highlights findings that could have major implications for brain aging and neurodegenerative conditions such as Alzheimer&rsqu...
Nikhil Prasad  Feb 08, 2026  4 days ago
Medical News: A Growing Global Lung Health Crisis Chronic Obstructive Pulmonary Disease, commonly known as COPD, is a long-term lung condition that makes breathing progressively more difficult. It affects hundreds of millions worldwide and is already one of the leading causes of death. Current treatments mainly ease symptoms and slow progression, but they do not fully stop lung damage. This has p...
Nikhil Prasad  Feb 08, 2026  4 days ago
Medical News: Scientists uncover how a natural antioxidant shapes immune strength in two global diseases Researchers are increasingly turning their attention to glutathione, a naturally occurring antioxidant in the human body, after new scientific insights revealed its critical role in regulating immune defenses against both COVID-19 and tuberculosis (TB). These two diseases, although caused by v...
Nikhil Prasad  Feb 08, 2026  4 days ago
Medical News: Glioblastoma is one of the most aggressive and deadly forms of brain cancer, with limited treatment options and very poor survival rates. Now, new research suggests that metformin, a widely used and inexpensive diabetes drug, could help slow down this deadly cancer by switching off key survival signals inside tumor cells. Metformin may slow aggressive brain cancer by blocking ke...
Nikhil Prasad  Feb 08, 2026  4 days ago
Medical News: A groundbreaking study has revealed that blocking a little-known bacterial peptide in the lungs can quickly reduce inflammation and scarring in advanced pulmonary fibrosis, a disease that is often fatal and has limited treatment options. The findings offer fresh hope that even late-stage lung fibrosis may still be biologically reversible when key disease drivers are targeted early en...
Nikhil Prasad  Feb 08, 2026  4 days ago
Medical News: A new scientific review is raising fresh concerns about how COVID-19 may leave behind long-lasting immune damage that could quietly increase cancer risks in some people. Researchers from the Institute of Microbiology and Virology at Riga Stradins University in Latvia examined growing evidence that SARS-CoV-2 infection can disrupt immune balance in ways that resemble mechanisms alread...
Nikhil Prasad  Feb 08, 2026  4 days ago
Medical News: Many people living with inflammatory bowel disease, or IBD, already face daily digestive struggles. New research now suggests that a commonly used class of acid reflux medicines may quietly raise the risk of a dangerous gut infection in these patients, especially during the first few years of use. Widely used acid reflux medications may unexpectedly raise infection risks in people...
Nikhil Prasad  Feb 08, 2026  4 days ago
Medical News: A Natural Plant Under Scientific Spotlight Influenza A H1N1 continues to pose a serious global health risk, especially due to rising resistance against existing antiviral drugs. Scientists are increasingly turning toward traditional medicinal plants for safer alternatives. Artemisia, a plant long used in traditional medicine across Asia and Europe, has now attracted major scientific...
Nikhil Prasad  Feb 07, 2026  5 days ago
Medical News: Bladder cancer remains one of the most difficult cancers to treat once it becomes resistant to standard chemotherapy drugs such as cisplatin and gemcitabine. New laboratory research is now offering fresh hope by showing that certain natural plant derived compounds may slow down the spread of these aggressive cancer cells. Natural plant compounds show promise in slowing the sprea...
Nikhil Prasad  Feb 07, 2026  5 days ago
Medical News: A New Look at Cinnamon Beyond Blood Sugar Control Cinnamon has long been associated with better blood sugar control, but new scientific insights now suggest its benefits go much deeper. Researchers have found that compounds in cinnamon may directly influence how cells communicate, especially in conditions like type-2 diabetes and obesity. Instead of acting only as antioxidants or en...
Nikhil Prasad  Feb 07, 2026  5 days ago
Medical News: A newly published case study from Japan is drawing fresh attention to how COVID-19 may trigger serious long term gut disorders, even in young and previously healthy individuals. Researchers report that a teenage patient developed Crohn’s disease only weeks after a SARS-CoV-2 infection, raising concerns that lingering digestive symptoms after COVID-19 should not be casually dism...
Nikhil Prasad  Feb 07, 2026  5 days ago
Medical News: A Hidden Sugar Based Pathway That Helps the Virus Attach and Infect Scientists are continuing to uncover surprising details about how the SARS-CoV-2 virus infects human cells. While most people are familiar with the virus binding to the ACE2 receptor, new research shows that complex sugars on human cells also play a crucial role in helping the virus attach, linger, and spread more e...
Nikhil Prasad  Feb 07, 2026  5 days ago
Medical News: The US Centers for Disease Control and Prevention has issued a Level 2 travel notice urging enhanced precautions for travelers heading to Suriname, following a growing chikungunya outbreak in the South American nation. The alert highlights rising public health concerns as mosquito-borne infections continue to spread across parts of the region. CDC raises travel alert as chikungunya...
Nikhil Prasad  Feb 07, 2026  5 days ago
Medical News: Drug Regulators on Both Sides of the Atlantic Raise Serious Concerns Regulatory pressure is mounting against avacopan, marketed as Tavneos, after both the U.S. Food and Drug Administration and the European Medicines Agency signaled that the drug’s future on the market is in jeopardy. The oral therapy, approved for the treatment of anti-neutrophil cytoplasmic autoantibody (ANCA)...
Nikhil Prasad  Feb 06, 2026  6 days ago
Medical News: Researchers are continuing to explore natural and food-based approaches that may help adults strengthen their immune systems and stay healthier during daily life and physical stress. A newly published clinical study has now highlighted encouraging results from a supplement called Muno-IgY, suggesting it may support respiratory health, immune balance, and recovery after exercise in he...
Nikhil Prasad  Feb 06, 2026  6 days ago
Medical News: Scientists Look Beyond Basil Aroma and Taste Basil is best known worldwide as a fragrant kitchen herb, but new scientific findings now show that its health value goes far beyond aroma and flavor. While earlier research mainly focused on basil’s essential oils and flavonoids, scientists have now turned their attention to its overlooked primary metabolites such as amino acids, v...
Nikhil Prasad  Feb 06, 2026  6 days ago
Medical News: Researchers from Spain have uncovered compelling new evidence that punicalin, a natural compound found in pomegranates, may help slow the progression of one of the most aggressive forms of breast cancer by targeting not only cancer cells but also the blood vessels that support tumor growth. Triple negative breast cancer is notoriously difficult to treat, and this Medical News report ...
Nikhil Prasad  Feb 06, 2026  6 days ago
Medical News: How the Environment and Genes Collide in Brain Diseases Neurological disorders such as Alzheimer’s disease and Parkinson’s disease are increasing worldwide, and scientists are now realizing that genetics alone cannot explain this troubling trend. A major new scientific review reveals that the environment people live in every day plays a powerful role in shaping brain hea...

MOST READ

Feb 09, 2026  3 days ago
Nikhil Prasad
Feb 08, 2026  4 days ago
Nikhil Prasad
Feb 08, 2026  4 days ago
Nikhil Prasad
Feb 06, 2026  6 days ago
Nikhil Prasad
Feb 04, 2026  8 days ago
Nikhil Prasad
Feb 02, 2026  10 days ago
Nikhil Prasad
Feb 01, 2026  11 days ago
Nikhil Prasad
Jan 31, 2026  12 days ago
Nikhil Prasad
Jan 27, 2026  16 days ago
Nikhil Prasad
Jan 27, 2026  16 days ago
Nikhil Prasad
Jan 26, 2026  17 days ago
Nikhil Prasad
Jan 25, 2026  18 days ago
Nikhil Prasad
Jan 24, 2026  19 days ago
Nikhil Prasad
Jan 23, 2026  21 days ago
Nikhil Prasad
Jan 22, 2026  21 days ago
Nikhil Prasad
Jan 21, 2026  22 days ago
Nikhil Prasad
Jan 20, 2026  23 days ago
Nikhil Prasad
Jan 18, 2026  25 days ago
Nikhil Prasad

Interesting Reads

Nikhil Prasad
Jan 18, 2026  25 days ago
Nikhil Prasad
Jan 17, 2026  26 days ago
Nikhil Prasad
Jan 14, 2026  29 days ago
Nikhil Prasad
Jan 14, 2026  30 days ago
Nikhil Prasad
Jan 13, 2026  1 month ago
Nikhil Prasad
Jan 12, 2026  1 month ago
Nikhil Prasad
Jan 12, 2026  1 month ago
Nikhil Prasad
Jan 11, 2026  1 month ago
Nikhil Prasad
Jan 09, 2026  1 month ago
Nikhil Prasad
Jan 08, 2026  1 month ago
Nikhil Prasad
Jan 07, 2026  1 month ago
Nikhil Prasad
Jan 06, 2026  1 month ago
Nikhil Prasad
Jan 05, 2026  1 month ago
Nikhil Prasad
Jan 04, 2026  1 month ago
Nikhil Prasad
Jan 04, 2026  1 month ago
Nikhil Prasad
Jan 03, 2026  1 month ago
Nikhil Prasad
Jan 01, 2026  1 month ago
Nikhil Prasad
Dec 31, 2025  1 month ago
Nikhil Prasad
Dec 30, 2025  1 month ago
Nikhil Prasad
Dec 27, 2025  2 months ago
Nikhil Prasad
Dec 25, 2025  2 months ago
Nikhil Prasad
Dec 24, 2025  2 months ago