For The Latest Medical News, Health News, Research News, COVID-19 News, Pharma News, Glaucoma News, Diabetes News, Herb News, Phytochemical News, Thailand Cannabis News, Cancer News, Doctor News, Thailand Hospital News, Oral Cancer News, Thailand Doctors

BREAKING NEWS

Latest articles

Presented by
Nikhil Prasad  Feb 08, 2026  16 hours ago
Medical News: Brief Exposure Shows Strong Biological Effects A new laboratory-based study has revealed that even very short exposure to extremely low-frequency electromagnetic fields can trigger oxidative stress and DNA damage in certain cancer cells. The findings add to growing scientific interest in whether controlled electromagnetic fields could one day support cancer treatment strategies with...
Nikhil Prasad  Feb 08, 2026  17 hours ago
Medical News: Intense physical activity puts enormous stress on the human body, often leaving muscles sore, immunity weakened, and recovery slowed. A new scientific review suggests that glutamine, a naturally occurring amino acid, could play a meaningful role in helping the body cope with this stress and recover more efficiently after exercise. Glutamine may support muscle recovery, immunity,...
Nikhil Prasad  Feb 08, 2026  20 hours ago
Medical News: Researchers have uncovered compelling new evidence that the purity of phosphatidylserine, a natural brain lipid often used in supplements, may play a crucial role in protecting human brain cells and strengthening their energy systems. This Medical News report highlights findings that could have major implications for brain aging and neurodegenerative conditions such as Alzheimer&rsqu...
Nikhil Prasad  Feb 08, 2026  20 hours ago
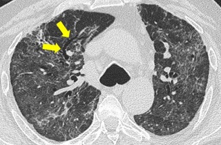
Medical News: A Growing Global Lung Health Crisis Chronic Obstructive Pulmonary Disease, commonly known as COPD, is a long-term lung condition that makes breathing progressively more difficult. It affects hundreds of millions worldwide and is already one of the leading causes of death. Current treatments mainly ease symptoms and slow progression, but they do not fully stop lung damage. This has p...
Nikhil Prasad  Feb 08, 2026  21 hours ago
Medical News: Scientists uncover how a natural antioxidant shapes immune strength in two global diseases Researchers are increasingly turning their attention to glutathione, a naturally occurring antioxidant in the human body, after new scientific insights revealed its critical role in regulating immune defenses against both COVID-19 and tuberculosis (TB). These two diseases, although caused by v...
Nikhil Prasad  Feb 08, 2026  21 hours ago
Medical News: Glioblastoma is one of the most aggressive and deadly forms of brain cancer, with limited treatment options and very poor survival rates. Now, new research suggests that metformin, a widely used and inexpensive diabetes drug, could help slow down this deadly cancer by switching off key survival signals inside tumor cells. Metformin may slow aggressive brain cancer by blocking ke...
Nikhil Prasad  Feb 08, 2026  22 hours ago
Medical News: A groundbreaking study has revealed that blocking a little-known bacterial peptide in the lungs can quickly reduce inflammation and scarring in advanced pulmonary fibrosis, a disease that is often fatal and has limited treatment options. The findings offer fresh hope that even late-stage lung fibrosis may still be biologically reversible when key disease drivers are targeted early en...
Nikhil Prasad  Feb 08, 2026  22 hours ago
Medical News: A new scientific review is raising fresh concerns about how COVID-19 may leave behind long-lasting immune damage that could quietly increase cancer risks in some people. Researchers from the Institute of Microbiology and Virology at Riga Stradins University in Latvia examined growing evidence that SARS-CoV-2 infection can disrupt immune balance in ways that resemble mechanisms alread...
Nikhil Prasad  Feb 08, 2026  23 hours ago
Medical News: Many people living with inflammatory bowel disease, or IBD, already face daily digestive struggles. New research now suggests that a commonly used class of acid reflux medicines may quietly raise the risk of a dangerous gut infection in these patients, especially during the first few years of use. Widely used acid reflux medications may unexpectedly raise infection risks in people...
Nikhil Prasad  Feb 08, 2026  23 hours ago
Medical News: A Natural Plant Under Scientific Spotlight Influenza A H1N1 continues to pose a serious global health risk, especially due to rising resistance against existing antiviral drugs. Scientists are increasingly turning toward traditional medicinal plants for safer alternatives. Artemisia, a plant long used in traditional medicine across Asia and Europe, has now attracted major scientific...
Nikhil Prasad  Feb 07, 2026  2 days ago
Medical News: Bladder cancer remains one of the most difficult cancers to treat once it becomes resistant to standard chemotherapy drugs such as cisplatin and gemcitabine. New laboratory research is now offering fresh hope by showing that certain natural plant derived compounds may slow down the spread of these aggressive cancer cells. Natural plant compounds show promise in slowing the sprea...
Nikhil Prasad  Feb 07, 2026  2 days ago
Medical News: A New Look at Cinnamon Beyond Blood Sugar Control Cinnamon has long been associated with better blood sugar control, but new scientific insights now suggest its benefits go much deeper. Researchers have found that compounds in cinnamon may directly influence how cells communicate, especially in conditions like type-2 diabetes and obesity. Instead of acting only as antioxidants or en...
Nikhil Prasad  Feb 07, 2026  2 days ago
Medical News: A newly published case study from Japan is drawing fresh attention to how COVID-19 may trigger serious long term gut disorders, even in young and previously healthy individuals. Researchers report that a teenage patient developed Crohn’s disease only weeks after a SARS-CoV-2 infection, raising concerns that lingering digestive symptoms after COVID-19 should not be casually dism...
Nikhil Prasad  Feb 07, 2026  2 days ago
Medical News: A Hidden Sugar Based Pathway That Helps the Virus Attach and Infect Scientists are continuing to uncover surprising details about how the SARS-CoV-2 virus infects human cells. While most people are familiar with the virus binding to the ACE2 receptor, new research shows that complex sugars on human cells also play a crucial role in helping the virus attach, linger, and spread more e...
Nikhil Prasad  Feb 07, 2026  2 days ago
Medical News: The US Centers for Disease Control and Prevention has issued a Level 2 travel notice urging enhanced precautions for travelers heading to Suriname, following a growing chikungunya outbreak in the South American nation. The alert highlights rising public health concerns as mosquito-borne infections continue to spread across parts of the region. CDC raises travel alert as chikungunya...
Nikhil Prasad  Feb 07, 2026  2 days ago
Medical News: Drug Regulators on Both Sides of the Atlantic Raise Serious Concerns Regulatory pressure is mounting against avacopan, marketed as Tavneos, after both the U.S. Food and Drug Administration and the European Medicines Agency signaled that the drug’s future on the market is in jeopardy. The oral therapy, approved for the treatment of anti-neutrophil cytoplasmic autoantibody (ANCA)...
Nikhil Prasad  Feb 06, 2026  3 days ago
Medical News: Researchers are continuing to explore natural and food-based approaches that may help adults strengthen their immune systems and stay healthier during daily life and physical stress. A newly published clinical study has now highlighted encouraging results from a supplement called Muno-IgY, suggesting it may support respiratory health, immune balance, and recovery after exercise in he...
Nikhil Prasad  Feb 06, 2026  3 days ago
Medical News: Scientists Look Beyond Basil Aroma and Taste Basil is best known worldwide as a fragrant kitchen herb, but new scientific findings now show that its health value goes far beyond aroma and flavor. While earlier research mainly focused on basil’s essential oils and flavonoids, scientists have now turned their attention to its overlooked primary metabolites such as amino acids, v...
Nikhil Prasad  Feb 06, 2026  3 days ago
Medical News: Researchers from Spain have uncovered compelling new evidence that punicalin, a natural compound found in pomegranates, may help slow the progression of one of the most aggressive forms of breast cancer by targeting not only cancer cells but also the blood vessels that support tumor growth. Triple negative breast cancer is notoriously difficult to treat, and this Medical News report ...
Nikhil Prasad  Feb 06, 2026  3 days ago
Medical News: How the Environment and Genes Collide in Brain Diseases Neurological disorders such as Alzheimer’s disease and Parkinson’s disease are increasing worldwide, and scientists are now realizing that genetics alone cannot explain this troubling trend. A major new scientific review reveals that the environment people live in every day plays a powerful role in shaping brain hea...
Nikhil Prasad  Feb 06, 2026  3 days ago
Medical News: Vitamin D Deficiency and Lingering Post Covid Illness A new clinical study from Japan is offering renewed hope to people suffering from long lasting fatigue and multiple unexplained symptoms after COVID-19 infection or vaccination. Many patients develop a condition known as myalgic encephalomyelitis or chronic fatigue syndrome, marked by extreme tiredness, brain fog, sleep disturban...
Nikhil Prasad  Feb 06, 2026  3 days ago
Medical News: How Two Brain Processes Drive Alzheimer’s Disease Alzheimer’s disease is the most common cause of dementia worldwide, slowly damaging memory, thinking, and daily functioning. Scientists now increasingly agree that two closely linked processes sit at the heart of the disease: the buildup of toxic amyloid beta protein clumps in the brain and long-lasting inflammation of br...
Nikhil Prasad  Feb 06, 2026  3 days ago
Thailand Doctors: Researchers in Thailand have discovered that a simple tropical fruit may help elite athletes recover better from intense training while also supporting immune health. A new clinical study has found that regular mango puree supplementation significantly reduced inflammation and muscle damage while improving certain immune markers in national-level beach volleyball players. Da...
Nikhil Prasad  Feb 06, 2026  3 days ago
Medical News: Rising Eye Allergies Become a Modern Environmental Problem Allergic conjunctivitis, commonly known as eye allergy, is no longer just a seasonal nuisance linked to pollen. New scientific findings now show that air pollution, indoor exposures, and workplace environments are playing a major and growing role in triggering itchy, red, watery eyes across the world. This condition affects ...
Nikhil Prasad  Feb 05, 2026  4 days ago
Medical News: New Evidence Strengthens Long-Suspected Viral Link to MS Researchers from the University of California San Francisco (UCSF), including scientists from the UCSF Weill Institute for Neurosciences and the Department of Neurology, have identified new immune mechanisms that help explain how Epstein-Barr virus (EBV) may contribute to the development of multiple sclerosis (MS). MS is a chr...
Nikhil Prasad  Feb 05, 2026  4 days ago
Medical News: High-dose antioxidants linked to offspring birth defects Antioxidant supplements have long been promoted as simple, almost universal solutions for better health. From claims of slowing ageing to preventing chronic disease and improving fertility, these products are widely consumed, often without medical supervision. However, new research is now raising serious questions about whether...
Nikhil Prasad  Feb 05, 2026  4 days ago
Medical News: Persimmon Leaves and Glaucoma a New Scientific Link Glaucoma is one of the world’s leading causes of irreversible blindness, mainly driven by increased pressure inside the eye. Scientists have long known that this pressure builds up when drainage tissues in the eye, known as the trabecular meshwork, become stiff and scarred. Now, new research suggests that an extract made from...
Nikhil Prasad  Feb 05, 2026  4 days ago
Medical News: The measles outbreak gripping Israel has claimed yet another tragic life, reinforcing growing concerns about the virus’s continued spread among unvaccinated populations. The Israel Ministry of Health has confirmed that a one-year-old unvaccinated baby with no underlying health conditions died from measles related complications at a hospital in Jerusalem. Another infant dea...
Nikhil Prasad  Feb 05, 2026  4 days ago
Medical News: Researchers are continuing to uncover why many individuals experience lingering neurological and psychological symptoms long after recovering from COVID-19. A new animal study now suggests that the SARS-CoV-2 spike protein alone, even without the live virus, may trigger slow and region-specific damage in the brain through a process known as ferroptosis, a form of iron-driven cell inj...
Nikhil Prasad  Feb 05, 2026  4 days ago
Medical News: Bile duct cancer also known as cholangiocarcinoma is one of the most aggressive and deadly cancers affecting the digestive system. It develops in the tubes that carry bile from the liver to the intestine and is especially common in parts of Southeast Asia including northeastern Thailand. A new comprehensive review by Thai researchers now highlights how advanced nano-based drug delive...
Nikhil Prasad  Feb 04, 2026  5 days ago
Medical News: A major international study uncovers how immune antibodies may quietly disrupt cellular energy and inflammation in ME/CFS and post-COVID-19 illness   A new international study has uncovered compelling evidence that immune antibodies from people suffering from Myalgic Encephalomyelitis or Chronic Fatigue Syndrome, including post-COVID-19, ME/CFS, may directly interfere with how...
Nikhil Prasad  Feb 04, 2026  5 days ago
Medical News: A growing body of scientific evidence is pointing toward a familiar kitchen spice as a potential ally in the fight against one of the most common childhood cancers. Curcumin, the natural yellow compound found in turmeric, has demonstrated strong anti-cancer activity against acute lymphoblastic leukemia in laboratory and animal studies, according to a newly published systematic review...
Nikhil Prasad  Feb 04, 2026  5 days ago
Medical News:  A silent complication that often goes unnoticed Common Variable Immunodeficiency, or CVID, is one of the most common inherited immune disorders seen in adults. People with CVID are known to suffer frequent infections, but doctors are now warning that liver disease linked to this condition may be just as dangerous, and far easier to miss. According to this Medical News report, ...
Nikhil Prasad  Feb 04, 2026  5 days ago
Medical News: Panobinostat Shows Promise in Fighting Drug Resistant Stomach Cancer Gastric cancer remains one of the world’s deadliest cancers, largely because many patients eventually stop responding to standard chemotherapy. One of the most widely used drugs, 5 fluorouracil, often loses its effectiveness over time as cancer cells adapt and survive. Now, researchers from South Korea have u...
James Josh  Feb 04, 2026  5 days ago
Medical News: In the ongoing evolution of SARS-CoV-2, a newly designated sub-lineage known as RF.5 has captured the attention of genomic surveillance experts. First detected in late 2025, this variant has shown remarkably swift growth in prevalence, most notably in Singapore, where it has approaching dominance. SARS-CoV-2 latest variant: RF.5 is catching the attention of many researchers and ...
Nikhil Prasad  Feb 04, 2026  5 days ago
Medical News: Understanding the Growing Threat of RNA Viruses RNA viruses have long troubled global health systems because of their ability to mutate rapidly, jump from animals to humans, and spread quickly across borders. Influenza, Ebola, Zika, HIV, SARS, MERS and COVID-19 are all examples that have shown how difficult these viruses are to control using existing vaccines and antiviral drugs. Ma...
Nikhil Prasad  Feb 04, 2026  5 days ago
Medical News: Radiation therapy has long been a life-saving treatment for people with brain tumors and cancers that spread to the brain. However, new scientific findings are revealing a troubling side effect that many patients and families are unaware of: long-term damage to the brain that can slowly affect memory, thinking, and overall quality of life. Radiation Therapy and The Hidden Risk t...
Nikhil Prasad  Feb 03, 2026  6 days ago
Medical News: Aronia Berry Offers New Hope Against Chemotherapy Resistance Colorectal cancer remains one of the most common and deadly cancers worldwide, largely because many patients eventually stop responding to standard chemotherapy drugs. One of the most widely used treatments, 5 fluorouracil, often becomes less effective over time as cancer cells learn to survive despite the drug. A new stud...
Nikhil Prasad  Feb 03, 2026  6 days ago
Medical News: A large new study from Spain is offering fresh hope that commonly used antihistamine medicines could play a meaningful role in reducing long COVID symptoms and dangerous blood clots after COVID-19 infection. The research focused on real world patient data and explored whether people already taking antihistamines had better long-term outcomes than those who were not. Antihistamin...
Nikhil Prasad  Feb 03, 2026  6 days ago
Medical News: Eye Drops Under Scientific Scrutiny A commonly used chemical found in some over-the-counter eye drops is now raising fresh concerns after scientists discovered it may affect liver cells and behave like PFAS chemicals inside the body. Researchers from Örebro University in Sweden carried out the study after questions were raised about the long-term safety of eye drop ingredients ...
Nikhil Prasad  Feb 03, 2026  6 days ago
Medical News: Researchers from the Medical Research Council Epidemiology Unit at the University of Cambridge and King’s College at the University of Cambridge have uncovered new evidence suggesting that higher levels of testosterone circulating in the blood may increase the risk of coronary artery disease in men. The findings raise fresh concerns about the growing popularity of testosterone ...
Nikhil Prasad  Feb 03, 2026  6 days ago
Medical News: Rising Death Toll Alarms Health Experts The current influenza season in the United States is proving to be one of the most severe in recent years, with health authorities reporting a mounting toll of illness, hospitalizations, and deaths. According to the U.S. Centers for Disease Control and Prevention (CDC), at least 11,000 Americans across all age groups have already died from flu-...
Nikhil Prasad  Feb 03, 2026  6 days ago
Thailand Doctors: Bile duct cancer, medically known as cholangiocarcinoma, is one of the most aggressive and deadly cancers, particularly common in parts of Southeast Asia, including northeastern Thailand. Survival rates remain extremely low because the disease is usually detected late and current drug treatments offer limited benefits. A major new scientific review has now examined whether herbal...
Nikhil Prasad  Feb 03, 2026  6 days ago
Medical News: Japan is once again seeing a notable rise in COVID-19 activity, with new data showing a sharp week-on-week increase that has caught the attention of health authorities and the public alike. During the reporting week of January 19 to January 25, national surveillance figures revealed a rise close to 30 percent compared to the previous week, signaling that the SARS-CoV-2 virus continue...
Nikhil Prasad  Feb 03, 2026  6 days ago
Medical News: Acute diverticulitis is a common condition that causes abdominal pain and fever, especially in middle aged and older adults. It occurs when small pouches in the colon become inflamed or infected. Normally, antibiotics lead to steady improvement. However, new findings suggest that when fever persists despite correct treatment, the cause may not always be worsening gut disease. In some...
Nikhil Prasad  Feb 02, 2026  6 days ago
Thailand Doctors: Glioblastoma, also known as glioblastoma multiforme (GBM), is one of the most aggressive and common types of primary brain tumors in adults. It originates from glial cells in the brain and is classified as a grade IV astrocytoma by the World Health Organization. This fast-growing cancer often infiltrates surrounding brain tissue, making complete removal challenging. Symptoms can ...
Nikhil Prasad  Feb 02, 2026  7 days ago
Medical News: Heart failure continues to affect tens of millions of people worldwide and remains one of the leading causes of hospitalization, disability, and premature death. Despite major advances in medications and medical devices, most existing treatments focus largely on managing symptoms rather than correcting the deeper biological damage that weakens the heart. New scientific evidence now i...
Nikhil Prasad  Feb 02, 2026  7 days ago
Medical News: Long-term exposure to common air pollutants may have played a much bigger role in COVID-19 infections and illness than previously understood, according to a major population study from France that tracked tens of thousands of adults before and during the pandemic. Long-term exposure to polluted air significantly increased both COVID infection and disease risk in a large French ...
Nikhil Prasad  Feb 02, 2026  7 days ago
Medical News: Subtle Heart Changes Emerging After COVID-19 Recovery As the world continues to grapple with the long-term effects of COVID-19, scientists are uncovering growing evidence that the virus may leave behind quiet but measurable changes in heart function. A new large-scale analysis now suggests that many people suffering from Long COVID experience subtle heart performance issues, even mo...
Nikhil Prasad  Feb 02, 2026  7 days ago
Medical News: Chronic inflammation has long been linked to disease, but new research is now revealing just how deeply immune inflammation and oxidative stress are intertwined in driving some of the world’s most serious health conditions. This Medical News report highlights a new scientific editorial that brings together evidence showing how these biological processes act as common engines be...
Nikhil Prasad  Feb 02, 2026  7 days ago
Medical News: A major new scientific study has revealed how COVID-19 can silently persist and evolve inside people with severely weakened immune systems, sometimes for months or even years, raising important concerns about long-term infection risks and the possible emergence of new viral variants. This Medical News report explores findings that are both alarming and critical for public health awar...
Nikhil Prasad  Feb 02, 2026  7 days ago
Medical News: Bile duct cancer, medically known as cholangiocarcinoma, is one of the most aggressive and deadly forms of cancer affecting the liver and biliary system. It is often diagnosed late, spreads quickly, and responds poorly to conventional treatments. A new scientific study is now drawing attention to promising alternative strategies that combine natural compounds with modern targeted the...
Nikhil Prasad  Feb 02, 2026  7 days ago
Medical News: Scientists Warn Virus Evolution Far from Over A sweeping new review warns that SARS-CoV-2—the coronavirus behind COVID-19—continues to shift, strengthen and change how it attacks the human body years after the original outbreak. The research was conducted by teams from George Emil Palade University of Medicine, Pharmacy, Science, and Technology of Târgu Mureș and th...
Nikhil Prasad  Feb 02, 2026  7 days ago
Medical News: Long Covid Triggers Hidden Diabetes and Thyroid Damage Long after the fever fades and lungs recover, COVID-19 may continue to quietly disrupt the body in unexpected ways. A new long-term study has revealed that four years after SARS-CoV-2 infection, many survivors are developing serious metabolic and hormonal problems, even if they had no such conditions before. This Medical News re...
Nikhil Prasad  Feb 02, 2026  7 days ago
Medical News: Pridopidine a Promising New Drug That Could Slow Neurodegenerative Diseases Neurodegenerative diseases such as Huntington’s disease and amyotrophic lateral sclerosis are devastating conditions that slowly damage the brain and nervous system, leading to loss of movement, speech, and independence. Scientists are now reporting encouraging findings about a drug called pridopidine,...

MOST READ

Feb 06, 2026  3 days ago
Nikhil Prasad
Feb 04, 2026  5 days ago
Nikhil Prasad
Feb 02, 2026  7 days ago
Nikhil Prasad
Feb 01, 2026  8 days ago
Nikhil Prasad
Jan 31, 2026  9 days ago
Nikhil Prasad
Jan 27, 2026  13 days ago
Nikhil Prasad
Jan 27, 2026  13 days ago
Nikhil Prasad
Jan 26, 2026  14 days ago
Nikhil Prasad
Jan 25, 2026  15 days ago
Nikhil Prasad
Jan 24, 2026  16 days ago
Nikhil Prasad
Jan 23, 2026  17 days ago
Nikhil Prasad
Jan 22, 2026  18 days ago
Nikhil Prasad
Jan 21, 2026  19 days ago
Nikhil Prasad
Jan 20, 2026  20 days ago
Nikhil Prasad
Jan 18, 2026  22 days ago
Nikhil Prasad
Jan 18, 2026  22 days ago
Nikhil Prasad
Jan 17, 2026  23 days ago
Nikhil Prasad

Interesting Reads

Nikhil Prasad
Jan 14, 2026  26 days ago
Nikhil Prasad
Jan 14, 2026  26 days ago
Nikhil Prasad
Jan 13, 2026  27 days ago
Nikhil Prasad
Jan 12, 2026  28 days ago
Nikhil Prasad
Jan 12, 2026  28 days ago
Nikhil Prasad
Jan 11, 2026  29 days ago
Nikhil Prasad
Jan 09, 2026  1 month ago
Nikhil Prasad
Jan 08, 2026  1 month ago
Nikhil Prasad
Jan 07, 2026  1 month ago
Nikhil Prasad
Jan 06, 2026  1 month ago
Nikhil Prasad
Jan 05, 2026  1 month ago
Nikhil Prasad
Jan 04, 2026  1 month ago
Nikhil Prasad
Jan 04, 2026  1 month ago
Nikhil Prasad
Jan 03, 2026  1 month ago
Nikhil Prasad
Jan 01, 2026  1 month ago
Nikhil Prasad
Dec 31, 2025  1 month ago
Nikhil Prasad
Dec 30, 2025  1 month ago
Nikhil Prasad
Dec 27, 2025  1 month ago
Nikhil Prasad
Dec 25, 2025  2 months ago
Nikhil Prasad
Dec 24, 2025  2 months ago
Nikhil Prasad
Dec 22, 2025  2 months ago
Nikhil Prasad
Dec 21, 2025  2 months ago
Nikhil Prasad
Dec 18, 2025  2 months ago