For The Latest Medical News, Health News, Research News, COVID-19 News, Pharma News, Glaucoma News, Diabetes News, Herb News, Phytochemical News, Thailand Cannabis News, Cancer News, Doctor News, Thailand Hospital News, Oral Cancer News, Thailand Doctors

BREAKING NEWS
Nikhil Prasad  Fact checked by:Thailand Medical News Team Nov 03, 2025  3 months, 1 week, 4 days, 2 hours, 2 minutes ago

Case Study Demonstrates That COVID-19 Can Trigger Rapid Fatal Brain Disease Even in Vaccinated Individuals!

7112 Shares
facebook sharing button Share
twitter sharing button Tweet
linkedin sharing button Share
Case Study Demonstrates That COVID-19 Can Trigger Rapid Fatal Brain Disease Even in Vaccinated Individuals!
Nikhil Prasad  Fact checked by:Thailand Medical News Team Nov 03, 2025  3 months, 1 week, 4 days, 2 hours, 2 minutes ago
Medical News: Rare but Alarming Link Between COVID-19 and Brain Degeneration
A new medical case from Puerto Rico has revealed a shocking potential link between COVID-19 infection and the rapid onset of a fatal brain disorder known as Creutzfeldt-Jakob Disease (CJD)—even in individuals who have been fully vaccinated. The findings were reported by researchers from the San Juan Bautista School of Medicine and Hospital Menonita in Caguas, Puerto Rico, who documented one of the most rapidly progressing cases of the disease ever recorded. The patient, a previously healthy 58-year-old man, developed symptoms just two weeks after recovering from COVID-19, and his condition deteriorated within months, leading to death. This Medical News report highlights the growing concern that SARS-CoV-2 infections might accelerate neurodegenerative conditions that are otherwise extremely rare.


 Case Study Demonstrates That COVID-19 Can Trigger Rapid Fatal Brain Disease Even in Vaccinated Individuals

How the Disease Developed So Quickly
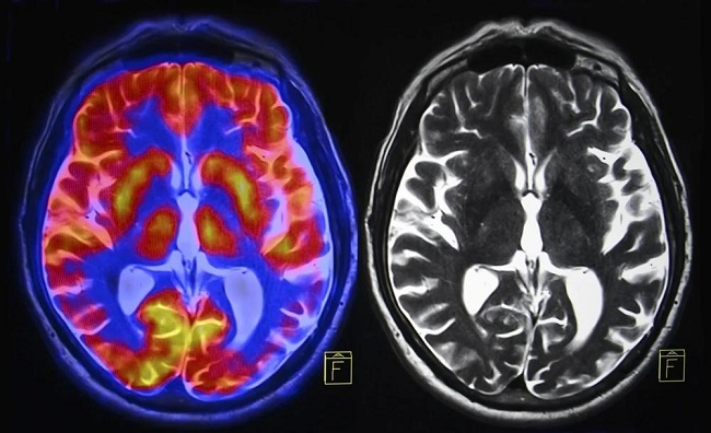
According to the case details, the patient first experienced moderate COVID-19 symptoms such as fever, cough, and chest tightness. Two weeks later, he began showing alarming neurological changes including confusion, difficulty concentrating, vertigo, and tremors. MRI scans showed extensive brain abnormalities, particularly in areas associated with cognition and motor control. His cerebrospinal fluid (CSF) tests later confirmed high concentrations of proteins 14-3-3 gamma and T-tau—both biomarkers of CJD—and a positive result on the RT-QuIC test, which detects prion activity. This confirmed the diagnosis of sporadic CJD, a rare and untreatable brain disease caused by misfolded proteins that destroy nerve cells. Within five months, his symptoms escalated to seizures, speech difficulties, and severe cognitive decline before he passed away early the following year.
 
What Makes This Case Unique
The researchers emphasized that this case showed an unusually short gap between COVID-19 infection and the onset of fatal neurodegeneration—just 14 days. MRI images revealed the classic “cortical ribboning” pattern typical of CJD, while EEG tests confirmed severe brain dysfunction. Importantly, the patient had received two doses of the Moderna vaccine months earlier without complications. While there is no direct evidence linking COVID-19 vaccines or infections to prion diseases, the timing of the patient’s decline raises questions about whether virus-induced inflammation or immune dysregulation could act as triggers for rapid neurodegenerative processes. The researchers also noted that similar cases have been reported globally since the start of the pandemic, suggesting a possible, though unproven, association between SARS-CoV-2 and prion-related conditions.
 
A Call for Vigilance in Post-COVID Neurological Symptoms
The study underscores the importance of medical vigilance following COVID-19, particularly for patients who develop unexplained cognitive decline, confusion, or balance p roblems. Doctors should consider rare disorders like CJD when symptoms worsen rapidly after infection. Although no solid proof exists that COVID-19 directly causes prion diseases, the temporal relationship and biological plausibility warrant further investigation into how SARS-CoV-2 might influence protein misfolding or accelerate existing neurological vulnerabilities. The authors also clarified that, despite isolated reports of neurological events after vaccination, current data show no increase in CJD cases since the pandemic began.
 
This case, while rare, serves as a grim reminder of the unpredictable neurological outcomes that can emerge in the aftermath of COVID-19 infection. It reinforces the need for comprehensive brain monitoring in long COVID patients and highlights how viral infections might play a previously underestimated role in triggering or accelerating fatal neurodegenerative diseases.
 
The study findings were published in the peer reviewed journal: Cureus.
https://www.cureus.com/articles/402312-post-covid-neurodegeneration-a-puerto-rican-case-of-rapidly-fatal-creutzfeldt-jakob-disease?#!/
 
For the latest COVID-19 News, keep on logging to Thailand Medical News.
 
Read Also:
https://www.thailandmedical.news/articles/coronavirus
 
 

MOST READ

Feb 11, 2026  3 days ago
Nikhil Prasad
Feb 09, 2026  5 days ago
Nikhil Prasad
Feb 08, 2026  6 days ago
Nikhil Prasad
Feb 08, 2026  6 days ago
Nikhil Prasad
Feb 06, 2026  8 days ago
Nikhil Prasad
Feb 04, 2026  10 days ago
Nikhil Prasad
Feb 02, 2026  12 days ago
Nikhil Prasad
Feb 01, 2026  13 days ago
Nikhil Prasad
Jan 31, 2026  14 days ago
Nikhil Prasad
Jan 27, 2026  18 days ago
Nikhil Prasad
Jan 27, 2026  18 days ago
Nikhil Prasad
Jan 26, 2026  19 days ago
Nikhil Prasad
Jan 25, 2026  20 days ago
Nikhil Prasad
Jan 24, 2026  21 days ago
Nikhil Prasad
Jan 23, 2026  22 days ago
Nikhil Prasad
Jan 22, 2026  23 days ago
Nikhil Prasad
Jan 21, 2026  24 days ago
Nikhil Prasad
Jan 20, 2026  25 days ago
Nikhil Prasad