For The Latest Medical News, Health News, Research News, COVID-19 News, Pharma News, Glaucoma News, Diabetes News, Herb News, Phytochemical News, Thailand Cannabis News, Cancer News, Doctor News, Thailand Hospital News, Oral Cancer News, Thailand Doctors

BREAKING NEWS
Nikhil Prasad  Fact checked by:Thailand Medical News Team Jan 03, 2026  2 weeks, 5 days, 6 hours, 4 minutes ago

Silent Lung Cavities After COVID-19 Shock Doctors

6512 Shares
facebook sharing button Share
twitter sharing button Tweet
linkedin sharing button Share
Silent Lung Cavities After COVID-19 Shock Doctors
Nikhil Prasad  Fact checked by:Thailand Medical News Team Jan 03, 2026  2 weeks, 5 days, 6 hours, 4 minutes ago
Medical News: A Rare and Unexpected Post COVID-19 Lung Problem
Doctors in Portugal have reported an unusual and surprising lung complication that appeared weeks after a patient recovered from severe COVID-19 pneumonia. The condition involved the sudden formation of hollow spaces or cavities inside the lungs despite the patient feeling relatively well. This Medical News report highlights how COVID-19 can still cause hidden damage long after the infection seems to be over.


A recovered COVID patient develops alarming lung cavities that heal on their own
 

The study was conducted by researchers from the Unidade Local de Saúde Amadora Sintra and Hospital Prof Dr Fernando Fonseca in Lisbon Portugal. Their work focused on a previously healthy 37-year-old man with no known medical conditions.
 
What Happened to the Patient
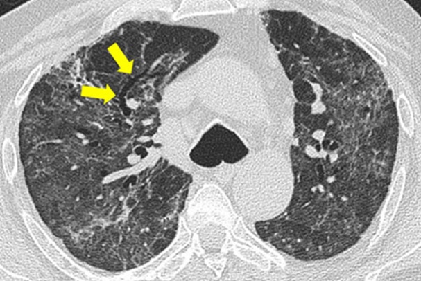
The man was hospitalized in June 2021 after developing severe COVID-19 pneumonia. He required noninvasive breathing support and was treated with steroids and broad antibiotics. At that time CT scans of his lungs showed typical COVID-19 related inflammation but no lung cavities.
 
Three weeks after being discharged he returned to hospital with sharp chest pain. Surprisingly, he had no fever cough breathing difficulty or signs of serious infection. New CT scans revealed a large cavity filled with air and fluid in his left lung. A week later another cavity appeared in the right lung.
 
Extensive Tests Show No Infection
Doctors initially feared a dangerous lung abscess or tuberculosis. To rule out these possibilities they conducted extensive tests. These included blood cultures sputum tests autoimmune screening repeat CT scans bronchoscopy and deep lung fluid analysis. Tests for bacteria, fungi, tuberculosis and cancer were all negative.

Despite alarming images of lung damage the patient remained stable with normal oxygen levels and low inflammation markers. Because no infection was found doctors stopped antibiotics and chose close monitoring instead.
 
A Self Resolving Condition
Over the next five months doctors followed the patient with regular imaging. Gradually both lung cavities shrank and eventually disappeared completely without surgery or further treatment. Throughout this period the patient felt well and had no recurring symptoms.
 
This finding suggests that in some people lung cavities after COVID-19 may heal on their own without aggressive treatment when infections are ruled out.
 
What Experts Believe Caused This
Researchers believe the cavities may have formed due to tiny blood clots and reduced blood flow in the lungs caused by COVID-19. Previous studies and autopsy findings have shown that the virus can damage lung blood vessels leading to localized tissue death which later forms cavities.
 
This case adds evidence that not all post COVID lung cavities are caused by infections and that some are part of the body heal ing process.
 
Why This Matters
Doctors are warned not to rush into long antibiotic treatments when patients are stable and tests are negative. Careful evaluation and follow up may be safer and more effective in selected cases.
 
Conclusion
This case clearly shows that COVID-19 can trigger delayed lung changes even in young and otherwise healthy individuals. Importantly it proves that frightening imaging findings do not always mean active infection. With thorough testing clinical stability and careful follow up some post COVID lung cavities can resolve naturally. Recognizing this pattern can help doctors avoid unnecessary treatments reduce patient anxiety and improve long term recovery outcomes.
 
The study findings were published in the peer reviewed journal: Cureus.
https://www.cureus.com/articles/446016-pulmonary-cavitation-as-a-late-and-self-limited-complication-of-covid-19-pneumonia-a-case-report#!/
 
For the latest COVID-19 news, keep on logging to Thailand Medical News.
 
Read Also:
https://www.thailandmedical.news/articles/coronavirus
 
https://www.thailandmedical.news/articles/long-covid
 
 

MOST READ

Jan 18, 2026  4 days ago
Nikhil Prasad
Jan 17, 2026  5 days ago
Nikhil Prasad
Jan 14, 2026  9 days ago
Nikhil Prasad
Jan 14, 2026  9 days ago
Nikhil Prasad
Jan 13, 2026  10 days ago
Nikhil Prasad
Jan 12, 2026  11 days ago
Nikhil Prasad
Jan 12, 2026  11 days ago
Nikhil Prasad
Jan 11, 2026  12 days ago
Nikhil Prasad
Jan 09, 2026  13 days ago
Nikhil Prasad
Jan 08, 2026  15 days ago
Nikhil Prasad
Jan 07, 2026  15 days ago
Nikhil Prasad
Jan 06, 2026  16 days ago
Nikhil Prasad
Jan 05, 2026  17 days ago
Nikhil Prasad
Jan 04, 2026  18 days ago
Nikhil Prasad
Jan 04, 2026  19 days ago
Nikhil Prasad
Jan 03, 2026  19 days ago
Nikhil Prasad

FROM GASTROENTEROLOGY

LATEST ON CANCER