For The Latest Medical News, Health News, Research News, COVID-19 News, Pharma News, Glaucoma News, Diabetes News, Herb News, Phytochemical News, Thailand Cannabis News, Cancer News, Doctor News, Thailand Hospital News, Oral Cancer News, Thailand Doctors

BREAKING NEWS
Nikhil Prasad  Fact checked by:Thailand Medical News Team Nov 27, 2025  1 month, 2 weeks, 5 hours, 2 minutes ago

Post COVID Fatigue Linked to Lasting Brain Tissue Loss

3915 Shares
facebook sharing button Share
twitter sharing button Tweet
linkedin sharing button Share
Post COVID Fatigue Linked to Lasting Brain Tissue Loss
Nikhil Prasad  Fact checked by:Thailand Medical News Team Nov 27, 2025  1 month, 2 weeks, 5 hours, 2 minutes ago
Medical News: Scientists Reveal Why Many People Stay Exhausted After COVID-19 Hospitalization
A major new study from leading German research institutions is shedding light on why so many people continue struggling with chronic tiredness and mental fog months after surviving a serious COVID-19 infection. This Medical News report highlights findings from researchers at Charité–Universitätsmedizin Berlin, the Berlin School of Mind and Brain at Humboldt-Universität zu Berlin, LMU University Hospital Munich, the University Hospital Würzburg, the University of Cologne, the University Medical Center Schleswig-Holstein, the Justus-Liebig-University Giessen, Goethe University Frankfurt, and multiple partner institutes of the German Center for Lung Research and German Center for Neurodegenerative Diseases. Their work provides some of the clearest evidence yet of long-lasting physical changes inside the brain.


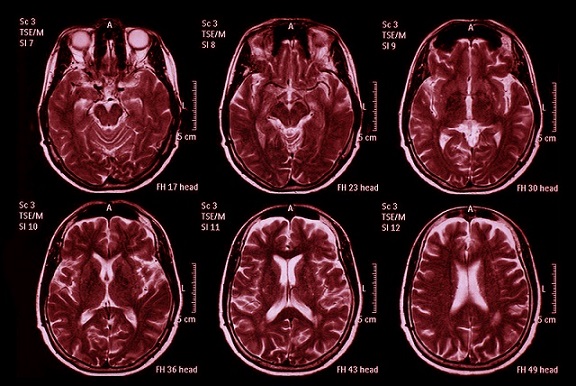
New MRI evidence shows that lasting brain tissue loss may explain persistent fatigue in people recovering
from severe COVID-19


Reduced Brain Thickness Found Months After Hospitalization
Using advanced MRI scans, the team examined 57 patients who had been hospitalized for COVID-19 and compared them with 57 healthy individuals. Three months after these patients left the hospital, researchers discovered clear reductions in cortical thickness — especially in the parahippocampal gyrus, temporal lobes, and parts of the frontal cortex. These regions help manage memory, sensory processing, emotional regulation, and energy perception.
 
The study also found that both the left and right hippocampus were smaller in COVID survivors. On the scans shown in the study images, the shrinking of these structures was visually striking, indicating that the virus or its inflammatory aftermath may have caused lasting tissue injury. Patients with the most severe infections, including those who required mechanical ventilation, also had reduced thalamus volume, a part of the brain that handles alertness and information flow.
 
Brain Changes Strongly Tied to Fatigue
More than half of the patients reported moderate to severe fatigue. The study found that those with higher fatigue scores had greater thinning in the anterior and posterior cingulate gyrus, temporal pole, and other regions involved in effort perception, motivation, and attention.
 
What These Findings Mean
The researchers warn that structural brain changes after COVID-19 are not rare and may persist for months or longer. Their results suggest that fatigue is not merely a “feeling” but may reflect measurable injury or inflammation in key brain regions. They recommend early screening, long-term follow-up, and possible rehabilitation for previously hospitalized patients. Their conclusion emphasizes that understanding these changes is essential for managing long COVID in the years ahead.
 
The study findings were published in the peer reviewed journal: Annals of Clinical and Translational Neurology.
> https://onlinelibrary.wiley.com/doi/10.1002/acn3.70260
 
For the latest on Long COVID, keep on logging to Thailand Medical News.
 
Read Also:
https://www.thailandmedical.news/articles/long-covid
 

MOST READ

Jan 08, 2026  3 days ago
Nikhil Prasad
Jan 07, 2026  4 days ago
Nikhil Prasad
Jan 06, 2026  5 days ago
Nikhil Prasad
Jan 05, 2026  6 days ago
Nikhil Prasad
Jan 04, 2026  7 days ago
Nikhil Prasad
Jan 04, 2026  7 days ago
Nikhil Prasad
Jan 03, 2026  8 days ago
Nikhil Prasad
Jan 01, 2026  10 days ago
Nikhil Prasad
Dec 31, 2025  11 days ago
Nikhil Prasad
Dec 30, 2025  12 days ago
Nikhil Prasad
Dec 27, 2025  15 days ago
Nikhil Prasad
Dec 25, 2025  17 days ago
Nikhil Prasad
Dec 24, 2025  18 days ago
Nikhil Prasad
Dec 22, 2025  20 days ago
Nikhil Prasad
Dec 21, 2025  21 days ago
Nikhil Prasad